Path Foundation Demo
๐ฌ
44
Browse pathology image library
Collection of concept apps built around HAI-DEF open models/libraries to inspire the community. Learn more at http://goo.gle/hai-def`
Browse pathology image library
Demo usage of the CXR Foundation model embeddings
Radiology Image & Report Explainer Demo. Built with MedGemma
Simulated Pre-visit Intake Demo built using MedGemma
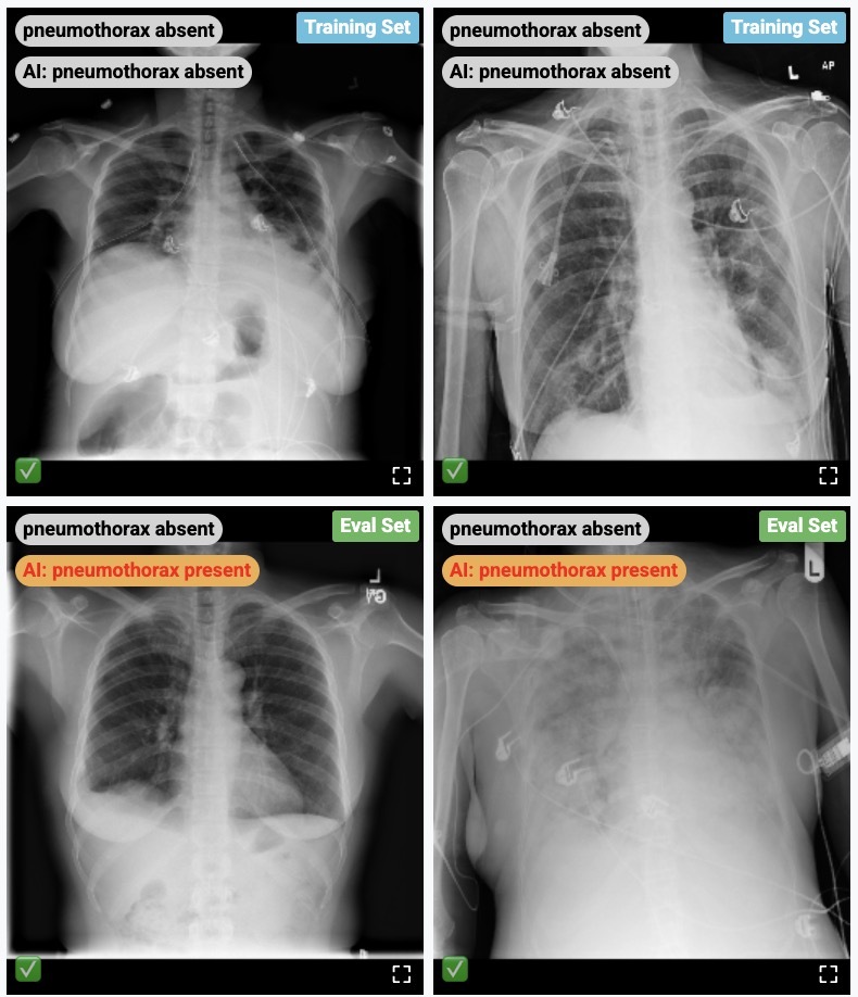
A demo showcasing a medical learning experience of CXR image
Convert radiology reports into structured medical data instantly
Search and navigate electronic health records